Cytomegalovírus
| Riadok 16: | Riadok 16: | ||
| poznamka = Zdroj: http://en.wikipedia.org/wiki/Cytomegalovirus | | poznamka = Zdroj: http://en.wikipedia.org/wiki/Cytomegalovirus | ||
}} | }} | ||
| − | |||
'''Cytomegalovírus''' (CMV) (z gréckeho cyto-, "bunka", a megalo-, "veľký") je [[rod]] [[vírus]]ov v ráde Herpesvirales, v rodine Herpesviridae, a v podrodine Betaherpesvirinae. Obvyklí hostitelia vírusu sú ľudia a opice. V súčasnosti tento rod obsahuje 8 druhov vírusov vrátane ľudského cytomegalovirusu (HCMV, human herpesvirus 5, HHV-5), čo je druh [[infekcia|infikujúci]] ľudí. Medzi prepojené ochorenia patrí [[infekčná mononukleóza]] a [[zápal pľúc]]. V medickej literatúre najviac označení CMV bez ďalšej špecifikácie referuje na ľudský CMV, je to najštudovanejší zo všetkých cytomegalovírusov. | '''Cytomegalovírus''' (CMV) (z gréckeho cyto-, "bunka", a megalo-, "veľký") je [[rod]] [[vírus]]ov v ráde Herpesvirales, v rodine Herpesviridae, a v podrodine Betaherpesvirinae. Obvyklí hostitelia vírusu sú ľudia a opice. V súčasnosti tento rod obsahuje 8 druhov vírusov vrátane ľudského cytomegalovirusu (HCMV, human herpesvirus 5, HHV-5), čo je druh [[infekcia|infikujúci]] ľudí. Medzi prepojené ochorenia patrí [[infekčná mononukleóza]] a [[zápal pľúc]]. V medickej literatúre najviac označení CMV bez ďalšej špecifikácie referuje na ľudský CMV, je to najštudovanejší zo všetkých cytomegalovírusov. | ||
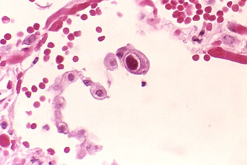
| + | [[File:Cytomegalovirus 01.jpg|thumb|400px|center|CMV infekcia v pľúcnom pneumocyte.]] | ||
| + | |||
| + | == Pozrite aj == | ||
| + | *[[Herpes simplex]] | ||
| + | *[[Herpes zoster]] | ||
==Zdroj== | ==Zdroj== | ||
Aktuálna revízia z 10:50, 20. december 2021
| Cytomegalovírus | |
| Anglicky: | Cytomegalovirus |
|---|---|
| Latinsky: | |
| Typ: | infekčná |
| Subtyp: | vírusová |
| Pôvodca: | |
| Symptómy: | |
| Terapia: | |
| Prevencia: | |
| ICD-9: | http://www.icd9data.com/2015/Volume1/001-139/070-079/078/078.5.htm |
| ICD-10: | http://apps.who.int/classifications/icd10/browse/2016/en#/B25 |
| DiseasesDB: | |
| MedlinePlus: | https://medlineplus.gov/ency/article/000568.htm |
| eMedicine: | |
| MeSH: | https://meshb.nlm.nih.gov/record/ui?ui=D003586 |
| OMIM: | |
Cytomegalovírus (CMV) (z gréckeho cyto-, "bunka", a megalo-, "veľký") je rod vírusov v ráde Herpesvirales, v rodine Herpesviridae, a v podrodine Betaherpesvirinae. Obvyklí hostitelia vírusu sú ľudia a opice. V súčasnosti tento rod obsahuje 8 druhov vírusov vrátane ľudského cytomegalovirusu (HCMV, human herpesvirus 5, HHV-5), čo je druh infikujúci ľudí. Medzi prepojené ochorenia patrí infekčná mononukleóza a zápal pľúc. V medickej literatúre najviac označení CMV bez ďalšej špecifikácie referuje na ľudský CMV, je to najštudovanejší zo všetkých cytomegalovírusov.
[upraviť] Pozrite aj
[upraviť] Zdroj
http://en.wikipedia.org/wiki/Cytomegalovirus
Kategória: Infekčné choroby
AIDS – s AIDS súvisiaci komplex – nepravé kiahne (Varicella) – prechladnutie – cytomegalovírus - herpesová infekcia – horúčka dengue – Ebolová hemoragická horúčka – choroba rúk, nôh a úst – hepatitída – Herpes simplex – Herpes zoster – ľudský papilomavírus (HPV) – chrípka (Flu) – Lassavská horúčka – osýpky – Marburgská hemoragická horúčka – infekčná mononukleóza – mumps – detská obrna – progresívna multifokálna leukencefalopatia – besnota – rubeola – silný akútny respiračný syndróm (SARS) – pravé kiahne (Variola) – vírusová encefalitída (zápal mozgu) – vírusová gastroenteritída – vírusová meningitída (zápal mozgových blán) – vírusová pneumónia (zápal pľúc)– západonílska choroba – žltá horúčka
antraxová choroba – bakteriálna meningitída – botulizmus – brucelóza – campylobakterióza – choroba z mačacieho škrabnutia – cholera – záškrt (diftéria)– epidemický týfus – lišaj (impetigo)– legionelóza – lepra (malomocenstvo) – leptospiróza – listerióza – borelióza (Lymská choroba)– melioidóza – infekcia MRSA (Meticilín-Rezistentný Stafylokokus Aureus)– nokardióza – čierny kašel – mor – pneumokoková pneumónia – psitakóza – horúčka Q – horúčka Skalnatých hôr – salmonelóza – šarlach – šigelóza – syfilis – tetanus – trachóma (chronická choroba spojiviek)– tuberkulóza – tularémia – brušný týfus (škvrnitý týfus)– týfus– infekcie močového traktu
africká spavá choroba – amebiáza – askarióza – babesióza – Chagasova choroba – klonorchióza – kryptosporidióza – cysticerkóza – difylobotriáza – dracunculiáza – echinokokóza – enterobióza – fasciolóza – fasciolopsiáza – filarióza – giardiáza – gnatostomiáza (infekcia čelustí) – hymenolepióza – isosporóza – Kala-azar – leishmanióza – malária – metagonimiáza – myiáza – onchocerciáza – pedikulóza (zavšivavenie) – svrab – schistosomiáza – pásomnicová infekcia (taeniáza) – toxokaróza – toxoplazmóza – trichinelóza – trichinóza – trichuriáza – trichomoniáza – spavá choroba (trypanosomiáza)
aspergilóza – blastomykóza – kandidóza (opar) – kokcidioidomykóza – kryptokokóza – histoplazmóza – tinea pedis
prenosná spongiformná encefalopatia – Creutzfeldt-Jakobova choroba – kuru (infekcia CNS) – fatálna rodinná nespavosť (insomnia)
- Ďalšie články
Baktéria Infekcia Infekčná choroba Sepsa Vírus Zoznam infekčných chorôb